VETERINÁRNÍ
PORADNA

ZAJÍMAVÉ
ČLÁNKY

ONLINE
PORADNA

Morčeti přerůstají zuby a nemůže jíst. Jak mu pomoci?

26.10.2018   

Odborník

Jedním z nejčastějších zdravotních problémů morčat jsou přerůstající stoličky, méně často řezáky. Je třeba zdůraznit, že veterináře je nutné navštívit ihned, jakmile morčátko přestane žrát.

Jak to v tlamičce morčete vlastně vypadá?

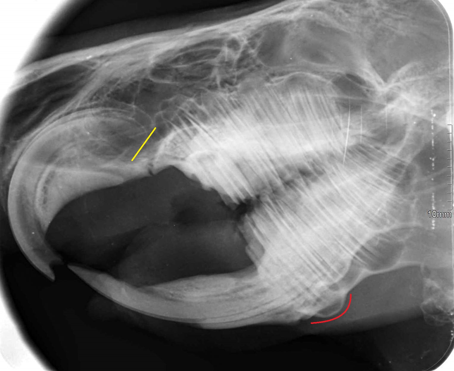
Za dvěma páry řezáků, které jsou vidět na první pohled, jsou v tlamičce schované ještě stoličky (správně premoláry a moláry) – a to čtyři na každé straně nahoře i dole. Všechny zuby morčete neustále dorůstají. Při normálním obrušování zubů vyrostou řezáky o 3 mm za týden, stoličky o 2–5 mm za měsíc. Pokud se zuby neobrušují, protože morčátko například nepřijímá potravu a je dokrmováno tekutou stravou, růst zubů se zpomaluje. Viditelná část spodních řezáků je obvykle třikrát delší, než viditelná část horních řezáků. Na bočním rentgenu vidíte, že velká část řezáků je ještě „schovaná“ v kosti. Spodní stoličky nerostou kolmo vzhůru, ale jsou nakloněny přes jazyk šikmo k sobě v úhlu asi 40°. Horní stoličky naopak míří mírně směrem ven do dásně pod tvářemi.  

Žlutou barvou jsou vyznačeny konce kořenů řezáků, červenou barvou přerůstání kořenů stoliček v čelisti  

Proč dochází k přerůstání zubů?

K přerůstání řezáků a stoliček dochází kvůli tzv. malokluzi, tedy nesprávnému postavení a následně obrušování zubů. Malokluze může vzniknout po traumatu (úrazu, zlomení zubu) nebo kvůli metabolické příčině (špatný poměr vápníku a fosforu, nedostatek vit. C, ale i jeho velký přebytek), největší roli ale hraje špatná výživa. Základem správné výživy je seno, dále zelenina. Granule a ovoce by měly být podávány pouze jako doplňkové krmivo, zrní by morče nemělo dostávat vůbec. U granulí dbáme i na správné složení. Dobrým vodítkem je například to, že se jedná o zelené granule a ne o pestrobarevnou směs, a že na prvním místě ve složení je uvedeno seno nebo tráva. Jakmile morče přestane žrát, je nutné zajít k veterináři, nebo ho alespoň na nezbytně nutnou dobu začít dokrmovat injekční stříkačkou speciálními kašičkami (Rodicare, Supreme Recovery), v nouzi i rozmočenými rozmixovanými granulemi.

Aby morče přijalo potřebnou denní dávku energie, musí sníst velké množství sena, takže jídlem tráví daleko více času, než při konzumaci granulí a pamlsků, které jeho energetickou potřebu pokryjí ihned a nestimulují tedy obrušování zubů. 

Proč hraje výživa tak velkou roli?

Při krmení senem nebo trávou pohybuje morče tlamkou do strany a dělá pohyb ve tvaru ležaté osmičky. Tím dochází ke správnému obrušování stoliček. Při nesprávném krmení je pohyb malý, pouze ve tvaru písmene O, a k obrušování nedochází. Aby morče přijalo potřebnou denní dávku energie, musí sníst velké množství sena, takže jídlem tráví daleko více času, než při konzumaci granulí a pamlsků, které jeho energetickou potřebu pokryjí ihned a nestimulují tedy obrušování zubů.  

Úpravu chrupu je nutné provést v krátké anestezii

Krácení řezáků se provádí diamantovým kotoučem, broušení stoliček se provádí zubní frézkou s vrtákem. Na fotce vidíte extrémní příklad přerůstání chrupu, kdy spodní stoličky přerostou přes jazyk a vytvoří tzv. mostek, který úplně znemožňuje příjem potravy. Pokud přerůstají korunky stoliček v tlamě, dá se předpokládat, že budou přerůstat i jejich kořeny v kosti. Prokázat to lze rentgenologicky a kromě terapie bolesti se s tím bohužel nedá nic dělat.

Stav před broušením, spodní stoličky přemosťují jazyk

Stoličky se brousí speciální zubní frézou

Stav po úpravě délky stoliček

Řezáky nikdy neštípejte kleštěmi!

Štípání zubů kleštěmi bez anestezie je pro morče bolestivé a navíc vede ke zhoršení malokluze – řezáky se můžou v hloubce vychýlit nebo zalomit. Jsou-li nutné časté úpravy řezáků, je doporučena extrakce (vytrhnutí) všech řezáků. Morčeti je pak nutné doživotně stříhat seno na kratší stébla.

Jak se vám článek líbil?

Hodnocení čtenářů: 89% (hlasů: 27)

Témata

Autor článku

26.10.2018

NAPOSLEDY PŘEČTENÉ ČLÁNKY

První pomoc

První pomoc: jak na odřeninu poraněného psa

Rozdíl mezi řeznou ránou a odřeninou je, že řezné rány jsou delší, jejich okraje jsou hladké a úhly ostré. Nejhlubší bývají uprostřed. Odřenina je méně hluboká než řezná rána a krvácení, pokud k němu vůbec dojde, je jen minimální. Mírné odřeniny mohou po zahojení zůstat bez následků, hlubší odřeniny však mohou na kůži zanechat jizvu. Traumatičtější odření, které naruší nebo odstraní všechny vrstvy kůže, se nazývá avulze.

9 nástrah, které o Velikonocích číhají na vašeho psa a kočku

O Velikonocích se asi sejdete s rodinou, přáteli a dost možná kolem bude pobíhat také váš čtyřnohý přítel. Čas pomlázky s sebou přináší víc jídla, pití, čokolády i dekorace a různé malé předměty, které k vám přinesou hosté. Co je tedy potřeba zvlášť o Velikonocích hlídat, aby se váš mazlíček neotrávil?

Blechy útočí nejen na psy! Kde je očekávat a jak se jich zbavit?

Co blechám chybí na velikosti, to dohánějí svou vytrvalostí. Boj s těmito drobnými krvežíznivými parazity stojí spoustu peněz. Je to jeden z největších výdajů pro majitele domácích mazlíčků. Chovatelé si často stěžují, že i když prevenci proti blechám a klíšťatům věnují maximální péči, přesto někdy na svém mazlíčkovi blechy objeví. Odkud se tyto blechy berou? Většinou vysvětlení spočívá v jednom z následujících důvodů.

Zapáchající kočka má pravděpodobně zdravotní problém. Co ji trápí?

Když se řekne zvířecí zápach, kočka asi nebude první zvíře, které si vybavíte. Čistotnost je ostatně jedna z nejvíce ceněných kočičích vlastností. Pokud si tedy u své kočky všimnete nepříjemného zápachu, neměli byste to brát na lehkou váhu. Ve většině případů je zápach u kočky znamením, že je něco špatně.

ZOBRAZIT DALŠÍ ČLÁNKY
  Položit dotaz do poradny

REGISTRACE

Můžete se zaregistrovat přes Facebook

BĚŽNÁ REGISTRACE

Vložte platný email.

Heslo musí mít minimálně 6 znaků.

Zadaná hesla se neshodují.

Tento email je již zaregistrován.
Zvažte využití funkce zapomenuté heslo.

Nastala neznámá chyba.
Kontaktujte nás prosíme na info@radaveterinare.cz. Děkujeme.

Děkujeme za registraci!
Pokyny k aktivaci účtu najdete v emailu. Bez aktivace se nelze přihlásit!

REGISTROVAT SE

Registrací souhlasíte se zpracováním osobních údajů a přihlášením k našemu skvělému newsletteru.
Děkujeme!

PŘIHLÁŠENÍ

Můžete se přihlásit přes Facebook

BĚŽNÉ PŘIHLÁŠENÍ

Vložte platný email.

Přihlášení bylo neúspěšné.

Nastala neznámá chyba.
Kontaktujte nás prosíme na info@radaveterinare.cz. Děkujeme.

Přihlášení bylo úspěšné!

PŘIHLÁSIT SE

Ještě u nás nemáte účet?