Hypoalergenní dýně hokaido jako zdravá dobrota
Dýně hokaido se stala velmi oblíbenou mezi lidmi, ale věděli jste, že stejně chutná i pejskům a navíc jim nabízí skvělé zdravotní benefity?
PŘEČÍST CELÝ ČLÁNEKOtázka 19.2.2020 Pes
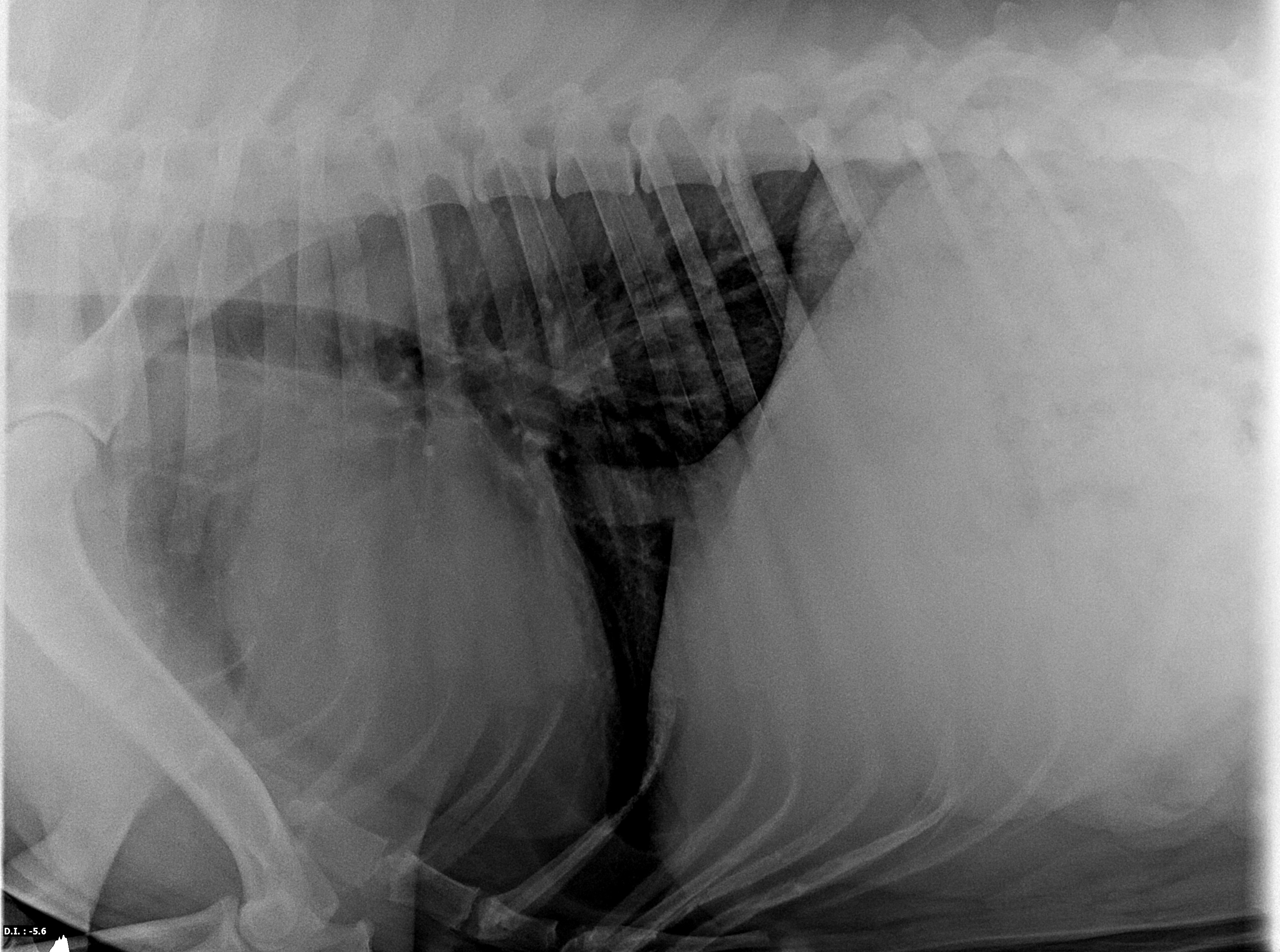
Dobry den, u nasi fenky jsme vypozorovali zrychlene dyhani, ihned jsme tedy navstivili veterinare a ten nam po rtg vysetreni sdelil, ze ma nase 2,5 rocni fenka plice cca na 8 let. Chtel bych se zeptat je tohle vubec mozne? Nedokazu si predstavit jak k tomu mohlo dojit, nikdy nemela zadny kasel atd.. dostava tu nejlepsi peci co jsme schopni ji dat vcetne premioveho krmiva atd.. veteeinarka nam sdelila, ze neni schopna poznat z ceho to konrketne je a ihned po nas chtela dalsi vysetreni za x tisic.. je pravda ze nase fenka moc nespolupracuje a kdyz na ni sahne nekdo cizi tak ihned vrci, takze si ji lekarka ani nemohla poslechnout.. ale zarazi me ze veterinarka neni schopna aspon priblizne diagnostikovat proc tomu tak je.. nevim jak mam dal postupovat a proto pisu sem.. skutecne jsou plice tak “stare”? Nize pridavam rtg snimky.. predem moc dekuji za odpoved, Novak
Veterinář odpovídá MVDr. Zuzana Richterová PROFIL VETERINÁŘE
Dobrý den, pane Nováku. Pokud je jediný problém, že fena zrychleně dýchá, je mnoho možných příčin, které toto způsobují, včetně metabolických onemocnění a podobně. Je potřeba fenku kompletnš vyšetřit, doptat se na různé detaily, zvážit nutná vyšetření. Nemohu Vám tedy takto říci, co fence je. Rentgen je trochu špatně napolohovaný, neboť přední končetina výrazně zasahuje do plicního a srdečního pole, což ztěžuje interpretaci. Ve zbytku snímku žádnou patologii neporozuji, definici "plíce na 8 let" neznám a pokud Vám Váš veterinář není schopen uspokojivě vysvětlit svoje domněnky a stanovit diagnózu, nemohu Vám doporučit než navštívit jiného. Přeji hodně zdraví, věřím, že důvod a řešení existuje.
Dýně hokaido se stala velmi oblíbenou mezi lidmi, ale věděli jste, že stejně chutná i pejskům a navíc jim nabízí skvělé zdravotní benefity?
PŘEČÍST CELÝ ČLÁNEKKožní problémy patří mezi nejčastější důvody, proč psi končí v ordinaci veterináře. Špatný stav psí kůže může mít celou řadu příčin, od vnějších parazitů, jako jsou blechy a roztoči, až po alergie a závažné endokrinní poruchy. Zatímco kožní onemocnění některých psů lze léčit doma, jakékoli zhoršení kožního problému nebo problém, který přetrvává déle než jeden nebo dva týdny bez zlepšení, je již důvodem, proč se obrátit na svého veterináře.
PŘEČÍST CELÝ ČLÁNEKNa trhu jsou desítky preparátů pro ochranu psů a koček před klíšťaty. Jak se v nich vyznat? Tento článek přináší přehled různých forem preparátů a jejich smysl. V článku se nezabývám přírodními preparáty, domácími preparáty či homeopatiky, neboť jejich účinnost není prokázána žádnými studiemi.
PŘEČÍST CELÝ ČLÁNEK„Dobrý den, jdeme na roční,“ zahlásí majitel ve dveřích a veterinář ho vzápětí zahrne lavinou otázek. „Má nějaký problém? Zvracení? Průjem?“ „Ale my jdeme jenom na injekci,“ protestuje majitel. Také si myslíte, že očkování je jen injekce?
PŘEČÍST CELÝ ČLÁNEKSpolupráce veterináře a klienta je jedním ze zásadních bodů léčby a vzájemné porozumění, je obrovským krokem na cestě k úspěšné terapii. Jako autorka článku musím přeci jen trochu více stát na straně těch v bílých, zelených nebo modrých pláštích. Z této pozice vám i lépe přiblížím, proč ta komunikace někdy tolik vázne.
PŘEČÍST CELÝ ČLÁNEKPokud máte domácí mazlíčky, pak víte, že ať už se vydáváte na cestu za prací nebo odpočinkem, čelíte rozhodnutí, jestli ho vezmete s sebou, nebo ho svěříte do péče rodině, přátelům či zvířecímu hotelu. U většiny majitelů vyhrává možnost mít ho u sebe, a tak jsme pro vás připravili následující tipy, které vám pomohou se na cestu s vaším zvířecím miláčkem připravit.
PŘEČÍST CELÝ ČLÁNEK© 2016 - 2026 | HKR Vet s.r.o.
REGISTRACE
Můžete se zaregistrovat přes Facebook
Registrovat přes FacebookBĚŽNÁ REGISTRACE
Vložte platný email.
Heslo musí mít minimálně 6 znaků.
Zadaná hesla se neshodují.
Tento email je již zaregistrován.
Zvažte využití funkce zapomenuté heslo.
Nastala neznámá chyba.
Kontaktujte nás prosíme na info@radaveterinare.cz. Děkujeme.
Děkujeme za registraci!
Pokyny k aktivaci účtu najdete v emailu. Bez aktivace se nelze přihlásit!
Registrací souhlasíte se zpracováním osobních údajů a přihlášením k našemu skvělému newsletteru.
Děkujeme!
PŘIHLÁŠENÍ
Můžete se přihlásit přes Facebook
Přihlásit přes FacebookBĚŽNÉ PŘIHLÁŠENÍ
Vložte platný email.
Přihlášení bylo neúspěšné.
Nastala neznámá chyba.
Kontaktujte nás prosíme na info@radaveterinare.cz. Děkujeme.
Přihlášení bylo úspěšné!
PŘIHLÁSIT SEJeště u nás nemáte účet? Registrujte se zdarma!