Čínské město zakázalo venčení psů pod trestem zabití zvířete
V reakci na množící se případy pokousaných dětí přistoupili úředníci okresu Wej-sin v prefektuře Čao-tchung k velmi extrémnímu nařízení.
PŘEČÍST CELÝ ČLÁNEKOtázka 3.4.2021 Pes
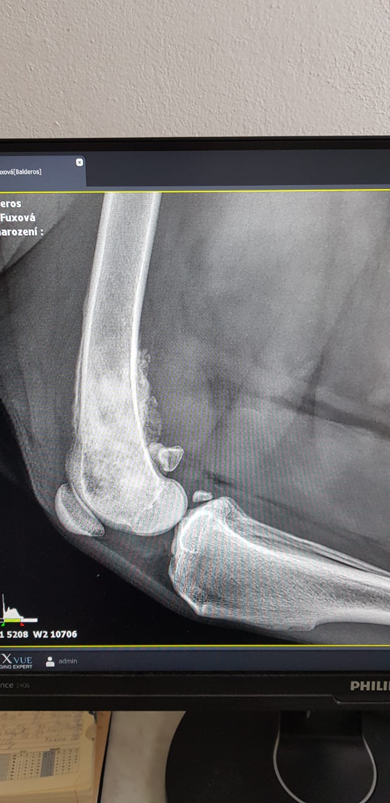
Dobrý den, moc prosím o radu. Náš 6lety leonberger začal kulhat na pravou zadní nožičky, mysleli jsme vazy. Dnes jsme s nim byli na RTG a jsme úplně v šoku, prý rakovina kostí a nedá se to operovat. Chtěla bych znát více názorů, posílám foto, co můžeme udělat, jak mu zpříjemnit život a jak rychle se bude chudák zhoršovat? Moc děkuji za odpověď, LF.
Veterinář odpovídá MVDr. Jaroslav Jančík: Veterinární ošetřovna Praha 9 PROFIL VETERINÁŘE
Dobrý den. Tohle je spíše dotaz pro onkologa, nebo ortopéda ., objednejte se :/ MVDr Musil, MVDr Vlach- Vetpark Brandýs,. Veterinární nemocnice AA-Vet , zahradní Město- najít na internetu /. Držím palce. S pozdravem MVDr Jančík.
V reakci na množící se případy pokousaných dětí přistoupili úředníci okresu Wej-sin v prefektuře Čao-tchung k velmi extrémnímu nařízení.
PŘEČÍST CELÝ ČLÁNEKFraktury neboli zlomeniny se ve veterinární medicíně řeší poměrně často. Nejčastějšími důvody vzniku zlomenin jsou autonehody, pády, poranění při rvačkách, úder, ale i nádory a záněty kostí. Zvláště ohroženou skupinou jsou velmi oblíbená miniaturní psí plemena, která se i při skoku z postele dokáží slušně polámat.
PŘEČÍST CELÝ ČLÁNEKZnáme to ze zkušeností, filmů i písniček. Kost v krku, hořící stromeček, žlučníkový záchvat… sváteční pasti ale nečíhají jen na lidi. Jaké jsou nejčastější zdravotní problémy, které mohou vašeho mazlíčka potkat v souvislosti s vánočními svátky?
PŘEČÍST CELÝ ČLÁNEKKrmení psa není věda, pokud se již rozhodnete pro způsob, je podstatné držet se ho a nedělat razantní změny jak ve složení krmiva, tak v režimu. To psi nesnášejí úplně dobře.
PŘEČÍST CELÝ ČLÁNEKKožní problémy patří mezi nejčastější důvody, proč psi končí v ordinaci veterináře. Špatný stav psí kůže může mít celou řadu příčin, od vnějších parazitů, jako jsou blechy a roztoči, až po alergie a závažné endokrinní poruchy. Zatímco kožní onemocnění některých psů lze léčit doma, jakékoli zhoršení kožního problému nebo problém, který přetrvává déle než jeden nebo dva týdny bez zlepšení, je již důvodem, proč se obrátit na svého veterináře.
PŘEČÍST CELÝ ČLÁNEKVánoce se blíží mílovými kroky. A určitě už přemýšlíte, čím potěšíte své nejbližší. Asi najde něco pod stromečkem i váš čtyřnohý parťák. Ale co mu letos dát? Jděte na to chytře a nedávejte pamlsky, které nic nepřinesou a jen se po nich tloustne. Spojte dohromady zdraví prospěšný účinek s dobrou chutí.
PŘEČÍST CELÝ ČLÁNEK© 2016 - 2026 | HKR Vet s.r.o.
REGISTRACE
Můžete se zaregistrovat přes Facebook
Registrovat přes FacebookBĚŽNÁ REGISTRACE
Vložte platný email.
Heslo musí mít minimálně 6 znaků.
Zadaná hesla se neshodují.
Tento email je již zaregistrován.
Zvažte využití funkce zapomenuté heslo.
Nastala neznámá chyba.
Kontaktujte nás prosíme na info@radaveterinare.cz. Děkujeme.
Děkujeme za registraci!
Pokyny k aktivaci účtu najdete v emailu. Bez aktivace se nelze přihlásit!
Registrací souhlasíte se zpracováním osobních údajů a přihlášením k našemu skvělému newsletteru.
Děkujeme!
PŘIHLÁŠENÍ
Můžete se přihlásit přes Facebook
Přihlásit přes FacebookBĚŽNÉ PŘIHLÁŠENÍ
Vložte platný email.
Přihlášení bylo neúspěšné.
Nastala neznámá chyba.
Kontaktujte nás prosíme na info@radaveterinare.cz. Děkujeme.
Přihlášení bylo úspěšné!
PŘIHLÁSIT SEJeště u nás nemáte účet? Registrujte se zdarma!