Koronavirus a domácí mazlíček - můžete se vzájemně nakazit?
Vědci z čínského Hongkongu sledovali psa nakaženého novým koronavirem a snaží se objasnit, jestli se domácí mazlíček může nakazit od člověka a naopak.
PŘEČÍST CELÝ ČLÁNEKOtázka 12.11.2023 Pes
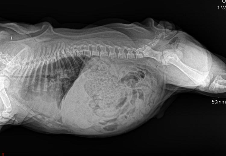
Dobrý den, chtěla bych Vás poprosit o konzultaci, prosím. Chceme si koupit štěně anglického buldoka, kterému je přes 4 měsíce, jako malý vdechl mlíčko, má nějaké problémy s průduškami- dle slov dr.:”patrný zástin v kranioventrálním úseku plicního pole, bronchovezikulární respirační šelest bez vrzotů, pískotů, atd. Máte s tím zkušenost, mám RTG snímky. Chtěla bych znát i druhý odborný názor.Myslíte, že je to vážné/může to mít následky do budoucna? Předem moc děkuji, hezký den.
Veterinář odpovídá MVDr. Zuzana Richterová PROFIL VETERINÁŘE
Dobrý den, rtg snímek vypadá velmi závažně. Velká část plicních laloků je nevzdušná, ve spodní části hrudníku bych očekávala možná i volnou tekutinu. U tak mladého štěněte bych stav považovala za velmi závažný, samozřejmě s přihlédnutím ke klinickým projevům. V žádném případě ale nedoporučuji si štěňátko nyní kupovat bez dodiagnostikování a dořešení problému, může se jednat i o vrozenou vadu a nebo skutečně závažnější průběh infekce.
Vědci z čínského Hongkongu sledovali psa nakaženého novým koronavirem a snaží se objasnit, jestli se domácí mazlíček může nakazit od člověka a naopak.
PŘEČÍST CELÝ ČLÁNEKMVDr. Vladěna Štrosová se specializuje na stomatologii zvířat ve své ordinaci v Hradci Králové, kde vás naučí, jak se starat o chrup psa, kočky nebo králíka. My jsme se domnívali, že jen výživa má na zuby zásadní vliv, do jisté míry ano, problematika je však složitější.
PŘEČÍST CELÝ ČLÁNEKZánět je obrannou reakcí organismu na poškození tkáně. Záněty se projevují se v různých místech a s různou intenzitou. U některých typů stačí počkat, jak se s ním organismus vyrovná, některé naopak vyžadují léčbu a tedy i návštěvu veterináře.
PŘEČÍST CELÝ ČLÁNEKVýběr štěněte by měl být velmi promyšlený a uvážený. Pamatujte, že zvíře nepořizujete dětem, nepořizujete jej ani jako kamaráda ke stávajícímu mazlíčku. Pořizujete si člena rodiny, závazek a tvora, za kterého budete po celý jeho život zodpovědní.
PŘEČÍST CELÝ ČLÁNEKKdyž je vašemu psovi zle, jako první byste měli volat veterináře. Zdánlivě zanedbatelné příznaky jsou někdy projevem vážnějšího zdravotního problému, na který domácí léčba nezabere, nebo dokonce napáchá víc škody než užitku. Pokud ale psa trápí jen maličkost, třeba suchá kůže nebo mírně podrážděný žaludek, domácí léčivé prostředky mohou pomoci.
PŘEČÍST CELÝ ČLÁNEKV letních měsících se teplota v zaparkovaném autě během několika minut snadno vyšplhá až k 65° Celsia, čímž vznikne doslova smrtící výheň.
PŘEČÍST CELÝ ČLÁNEK© 2016 - 2025 | HKR Vet s.r.o.
REGISTRACE
Můžete se zaregistrovat přes Facebook
Registrovat přes FacebookBĚŽNÁ REGISTRACE
Vložte platný email.
Heslo musí mít minimálně 6 znaků.
Zadaná hesla se neshodují.
Tento email je již zaregistrován.
Zvažte využití funkce zapomenuté heslo.
Nastala neznámá chyba.
Kontaktujte nás prosíme na info@radaveterinare.cz. Děkujeme.
Děkujeme za registraci!
Pokyny k aktivaci účtu najdete v emailu. Bez aktivace se nelze přihlásit!
Registrací souhlasíte se zpracováním osobních údajů a přihlášením k našemu skvělému newsletteru.
Děkujeme!
PŘIHLÁŠENÍ
Můžete se přihlásit přes Facebook
Přihlásit přes FacebookBĚŽNÉ PŘIHLÁŠENÍ
Vložte platný email.
Přihlášení bylo neúspěšné.
Nastala neznámá chyba.
Kontaktujte nás prosíme na info@radaveterinare.cz. Děkujeme.
Přihlášení bylo úspěšné!
PŘIHLÁSIT SEJeště u nás nemáte účet? Registrujte se zdarma!