Křest vzácného lvíčka v Lysé nad Labem, kmotrem bude Jakub Kohák
Jestli ještě nemáte plán na sváteční den pátek 28. října, vyrazte na Výstaviště do Lysé nad Labem na unikátní výstavu EXOTIKA 2016, uvidíte jedinečnou událost.
ONLINE
PORADNA
11.6.2018
Případy z veteriny
Pravidelná klinická vyšetření vašeho čtyřnohého kamaráda mají svůj důvod, vhodná doba je například při pravidelném každoročním očkování. Takto jsme zjistili, že má Sheldon problémy se srdcem.
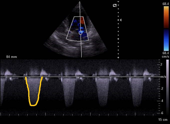
Osmiletý kříženec Sheldon byl u nás loni v květnu na pravidelné vakcinaci. Pan doktor pejska prohlédl a poslechl mu srdce. Z levé strany byl dobře slyšitelný šelest 2. stupně ze 6. Majitelům bylo pro jistotu doporučeno echokardiografické vyšetření (sono) srdce. Pro diagnostiku srdečního selhání lze využít EKG, rentgen hrudníku nebo sono. Posledně zmíněné vyšetření je nejpřesnější z hlediska zobrazení vnitřních struktur v srdci. Umožňuje posoudit chlopně, změřit vnitřní rozměry komor a síní a zhodnotit abnormality v proudění krve. Je to ale zároveň specializované vyšetření, které umí vyhodnotit pouze veterinární lékař – kardiolog.
Sonografické vyšetření srdce je nejpřesnější z hlediska zobrazení vnitřních struktur srdce.
Pacient zatím neměl žádné klinické příznaky, nekašlal ani nejevil známky únavy při větší aktivitě. Proto nás velmi překvapil nález na sonu. Sheldon měl těžkou nedomykavost mitrální chlopně, která byla úplně deformovaná a „netěsnila“ průchod mezi levou síní a komorou. To mělo za následek zpětný návrat krve z komory do síně, rozšíření síně, zesílení stěny komor – zkrátka velké přetížení srdce, které už nezvládalo tento stav kompenzovat. Co bylo ale nejhorší, městnáním krve v levé síni se vytvořil trombus (krevní sraženina), který vlál v proudu krve a hrozil utržením.
Pan doktor okamžitě nasadil léky na rozpouštění krevní sraženiny, na podporu srdeční stažlivosti a snížení krevního tlaku. Za 6 týdnů jsme s potěšením mohli konstatovat, že trombus byl plně rozpuštěn. Léčba pejska bude už doživotní, ale nebezpečí akutního selhání srdce nebo embolie trombu bylo pro tuto chvíli odvráceno.
Jestli ještě nemáte plán na sváteční den pátek 28. října, vyrazte na Výstaviště do Lysé nad Labem na unikátní výstavu EXOTIKA 2016, uvidíte jedinečnou událost.
Odborník
Zubní kámen u zvířecích miláčků je jedním z nejčastějších stomatologických důvodů návštěvy veterinárního lékaře. Zubní kámen se zvýšeně usazuje u malých a středních plemen, u trpasličích plemen to bývá běžné již v prvních letech života.
Hobby
Přinesli jste si domů kuličku štěstí a najednou se vám honí hlavou milion otázek. Proč tolik spí? Proč při hlazení chňape po prstech? Co znamenají pravidelné závody po obýváku? A vyroste z toho někdy? Ačkoli vás chování vašeho štěňátka může vyvádět z míry, většina novopečených štěněčích rodičů zažívá to samé. Následující seznam vám možná některé záhady pomůže odkrýt.
Chovatel
,,No tak fajn, fajn. Koupíme si želvu,“ říká můj manžel. Já s nadšením sedám nad knížky s co nejvyšším počtem obrázků a pídím se po tom, jak že vlastně jednotlivé druhy vypadají, a to zejména kvůli našim dvěma dětem.
Odborník
Potravní alergie na stravu se u psů a koček objevuje tehdy, krmí-li majitel nevhodným složením delší dobu, může se projevit v jakémkoliv věku vašeho mazlíčka. Z odborných studií bylo zjištěno, že zhruba jedna třetina psů trpících alergií na krmivo, jsou mladí psi do jednoho roku stáří. U koček byl zjištěn průměrný věk výskytu potravní alergie 4–5 let. Přestože převládá domněnka, že hlavní příčinou alergií je strava, není tomu tak. Odhaduje se, že potravní alergie způsobují pouze 10–20 % ze všech alergií vyskytujících se u psů. Potravinová alergie je až na třetím místě, daleko za alergiemi vyvolanými blechami nebo životním prostředím (prach, roztoči, dýchací alergie).
© 2016 - 2026 | HKR Vet s.r.o.
REGISTRACE
Můžete se zaregistrovat přes Facebook
Registrovat přes FacebookBĚŽNÁ REGISTRACE
Vložte platný email.
Heslo musí mít minimálně 6 znaků.
Zadaná hesla se neshodují.
Tento email je již zaregistrován.
Zvažte využití funkce zapomenuté heslo.
Nastala neznámá chyba.
Kontaktujte nás prosíme na info@radaveterinare.cz. Děkujeme.
Děkujeme za registraci!
Pokyny k aktivaci účtu najdete v emailu. Bez aktivace se nelze přihlásit!
Registrací souhlasíte se zpracováním osobních údajů a přihlášením k našemu skvělému newsletteru.
Děkujeme!
PŘIHLÁŠENÍ
Můžete se přihlásit přes Facebook
Přihlásit přes FacebookBĚŽNÉ PŘIHLÁŠENÍ
Vložte platný email.
Přihlášení bylo neúspěšné.
Nastala neznámá chyba.
Kontaktujte nás prosíme na info@radaveterinare.cz. Děkujeme.
Přihlášení bylo úspěšné!
PŘIHLÁSIT SEJeště u nás nemáte účet? Registrujte se zdarma!